Wastewater Treatment Organism Identification
Jun 4th 2020
Wastewater Treatment Organism Identification
A wastewater treatment microscope can be used to identify a number of different organisms during the water treatment process. Below is a guide to identifying these organisms and a few notes on what the organism identification might indicate.
Wastewater activated sludge is made up of approximately:
- 4% Protozoa
- 1% Metazoa
- 95% Bacteria
Common Protozoa in Wastewater
In wastewater treatment systems where there is a low load and high sludge retention time the presence of protozoa such a ciliates, flagellates, and amoebae is very common. These eukaryotic organisms are able to feed on particulates, such as suspended bacteria. It is generally assumed that protozoa's primary role in wastewater treatment is the clarification of the effluent. The US Environmental Protection Agency defines effluent as discharge of liquid waste from a wastewater treatment facility, factory, or industry to a local water body.
Amoeba (protozoa)
Size: 5-200µm 
Microscope magnification required to view: 400x
Amoeba are slow moving single celled protozoa. With streaming cytoplasm, amoebae envelop free bacteria, organic particles, and other food sources. In wastewater, you can often find free amoeba which are just the streaming cytoplasm inside a cell envelope. Additionally, in wastewater the presence of heavy metals can result in dispersed growth of floc structures and it is recommended to check and see if Arcella are present.

Amoeba Illustration: Pearson Scott Foresman
The presence of large numbers of amoeba in the sample indicate:
- Shock loading of biological oxygen demand (BOD)
- Presence of large amounts of particulate matter
- Lack of oxygen
- Low levels of toxicity or other unfavorable conditions
Arcella (protozoa - amoeba)
Size: 30-150µm 
Microscope magnification required to view: 400x
Arcella Vulgaris (shown in the video above) is a testate amoeba.

Arcella under the microscope at 400x. Photo: Luke Milbocker via Microscope-microscope.org
Flagellates (protozoa)
Size: 5-20µm 
Microscope magnification required to view: 400x, 1000x preferred
A large and diverse group of protozoa, flagellates are grouped by how they move. Propelled by whip-like flagella, these protozoa tend to bounce and move at random. With large flagellates or when using a phase contrast microscope, you can often see the flagella propelling the organism. In wastewater, flagellates are seen early on the growth curve and tend to decrease in relative frequency as you move along the growth curve. Increase in amoeba and flagellates from normal numbers of higher life forms can indicate a change to a younger sludge, lower mixed liquor suspended solids (MLSS), high F/M ratios (The F/M Ratio is a process control number that helps you to determine the proper number of microorganisms for your system - it is a food:microorganism ratio), or biological oxygen demand (BOD) loading.
The presence of large numbers of flagellates in the wastewater sample indicate:
- Incomplete treatment
- Shock loading of BOD
- Presence of large amounts of dead or decaying material
Stalk Ciliates (protozoa)
Size: 30-80µm 
Microscope magnification required to view: 400x
  
 
Stalked Ciliate Vorticella on the surface of copepod in Delhi Channel, Upper Newport Bay, Orange County, CA. Photo: Peter J. Bryant.
Stalk ciliates and suctorians (see below) are the ideal indicator protozoa for most wastewater systems. Present only in systems with good dissolved oxygen (DO), low soluble organics, and good floc forming conditions, stalk forms do not move and are easy to observe. These protozoa anchor to the floc and are only mobile in early phases and after shock events. Stalks are highly susceptible to shock events - pH swing and toxic compounds. It is important to note any change in their frequency taking note of the following:
- Single stalk forms - most common
- Colonial stalks - if seen, you have great quality water
- Suctorians - similar to a stalk, but these look like a pin cushion and will suck cytoplasm from passing flagellates and ciliates.
- Many stalked ciliates can be an indication of middle-aged sludge.
Suctorian (protozoa)
Size: 30-200µm 
Microscope magnification required to view: 400x, 1000x if the suctorian is on the smaller size.
The presence of suctorians in wastewater indicates:
- Low organic loading and ammonia
- Adequate dissolved oxygen

Suctorian under the microscope.
Free-Swimming Ciliates (protozoa)
Size: 40-200µm 
Microscope magnification required to view: 400x
The presence of large numbers of free-swimming ciliates indicates:
- Abundance of active bacteria
- Early in the treatment process
- Nutrients have not been depleted

Free-swimming ciliate under the microscope in wastewater.
Crawling Ciliates (protozoa)
Size: 20-100µm 
Microscope magnification required to view: 400x, 1000x preferable
The presence of large numbers of crawling ciliates in wastewater indicates:
- Most of the organic material has been removed
- Bacteria are clumping together to form floc
- Adequate detention time
Common Metazoa in Wastewater
As a wastewater treatment system matures, dissolved oxygen concentrations eventually rise to levels that can support multicellular lifeforms. Unlike bacteria (prokaryotes) and protozoa (eukaryotes) which are all single cellular organisms, metazoa are more complex organisms with differentiated cells. These organisms feed on microbial floc and protozoa. An abundance of metazoa indicates an older sludge. Common wastewater metazoa include rotifers, nematodes, bristle worms and tardigrades.
Rotifer (metazoa)
Size: 40-2000µm 
Microscope magnification required to view: 400x
Rotifers and tardigrades (water bears) are easy to see and very interesting to watch. If they become the dominant indicators in a microscopy slide, you are probably tilting toward an old sludge. Also, they are more resistant to shocks than stalk forms, so you can have some problems and still see rotifers.
In wastewater the presence of rotifers indicates:
- Low organic loading
- Adequeate dissolved oxygen
- Ammonia <5mg/L

Rotifer under the microscope. Photo: Runk/Schoenberger - Grant Heilman/Encyclopaedia Britannica, Inc.
Tardigrades (water bear - metazoa)
Size: 200-1200µm 
Microscope magnification required to view: 400x
The presence of tardigrades in wastewater indicates:
- Low organic loading
- Long sludge age
- Adequate dissolved oxygen

Tardigrade (water bear) under the microscope.
Gastrotrich (metazoa)
Size: 100-1500µm 
Microscope magnification required to view: 400x, 1000x preferred for smaller samples

Gastrotrich are commonly confused with rotifers.
Nematode (metazoa)
Size: 400-5000µm 
Microscope magnification required to view: 400x
Nematodes aid the floc with oxygen utilization. They are commonly found in healthy attached growth systems and are indicative of poor operating conditions if they are found in activated sludge systems.
The presence of nematodes in wastewater indicates:
- Low dissolved oxygen
- Low sludge age

Lesion nematode under the light microscope. Photo: Zane Grabau, MSU
Common Bacteria in Wastewater
All types of bacteria enter the wastewater treatment system. It is the operator's job to create an environment that will favor the floc-forming bacteria that are rod shaped.
Spirillum (bacteria)
Size: 5-8µm 
Microscope magnification required to view: 400x, 1000x preferable
In wastewater, the presence of spirillum or spirochetes usually indicates septicity.
 
 
This is bacterial spirillum, captured under the microscope at 1000x magnification. Photo: Loyola University Chicago.
Hyphomicrobium (bacteria)
Size: 5-10µm 
Microscope magnification required to view: 400x, 1000x preferable
Hyphomicrobium looks like beans on a stalk. It is the stalk extending from the biofilm that makes the Hyphomicrobium easy to see under a microscope. The daughter cells have flagella allowing for the Hyphomicrobium cells to swarm and colonize new areas. Hyphomicrobium in wastewater are associated with de-nitrification and are especially common in systems with methanol or other short chain alcohols. They are also an indication that denitrification is going on or septicity is present. More in-depth facts about hyphomicrobium in wastewater can be found here.

This is hyphomicrobium captured under the microscope.
Zooglea (bacteria)
Size: 0.5-1.3µm 
Microscope magnification required to view: 1000x
Zooglea are extremely large, non-motile bacteria. Zooglea usually grow as amorphous clumps or as a fingered-like tree. They can indicate low pH in wastewater. This bacteria is usually found in environments where there is a high F/M ratio where the soluble organic compounds are readily bio-degradable. (The F/M ratio is a process control number that helps you determine the proper number of microorganisms for your system.) Zooglea can also indicate nutrient deficiency.

Zooglea under the microscope. Photo: Ecology Center
Other Organisms in Wastewater
Fungi / Yeast
Fungi or yeast can indicate a low pH, fermentative conditions, or phosphorous deficiency. Sometimes if present with high numbers of Thiothrix, it can indicate septic conditions in previous clarifiers or process units that feed into the aeration section of the wastewater treatment plant.

Yeast cells in young wine under the microscope. Photo: Microbiological garden.
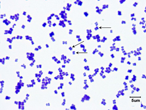
Tetrads
Size: 1-10µm 
Microscope magnification required to view: 400x, 1000x preferable


A tetrad appears as a square of four cocci (arrows). It is difficult with a conventional light microscope to tell a tetrad arrangement (square of four cocci) from a sarcina arrangement (cube of eight).
In wastewater tetrads can indicate a nutrient deficiency - usually nitrogen.
The photo with white background shows tetrads under a brightfield microscope. The photo with dark background shows tetrads using a darkfield microscope.
Photo: Gary E. Kaiser, Ph.D., Professor of Microbiology, The Community College of Baltimore County
Microscope Questions?
View the wastewater treatment microscopes or contact Microscope World with questions regarding which wastewater treatment microscope is best for your application.
Sources:
- Wisconsin Wastewater Operator's Association
- Biological Wastewater Expert
- A Guide to Higher Lifeforms
 
             
                


