This microscope prepared slide kit contains 9 histology prepared slides including mouth smear, spermatozoa, tongue, kidney, motor nerve, loose connective tissue, liver, spinal cord, and blood vessels. All of the prepared microscope slides shown below are included in the Histology Prepared Microscope Slide Kit.
![]() |
![]() |
|
| Human spermatozoa, 100x |
Dog tongue, 40x |
|
![]() |
![]() |
|
| Rabbit artery and vein, 100x |
Mouse Kidney, 40x |
|
|
![]() |
|
| Loose Connective Tissue |
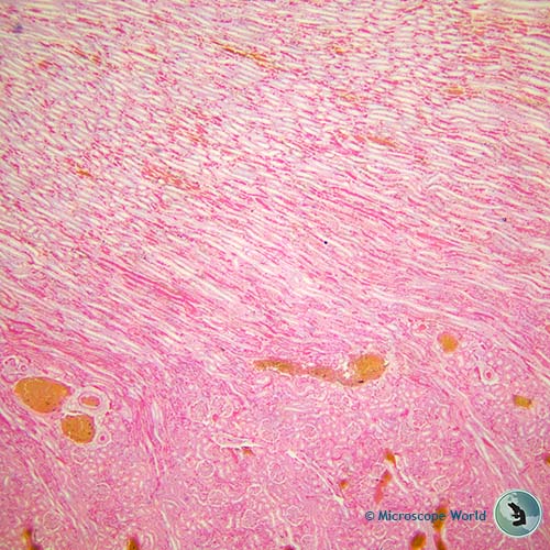
Pig liver, 40x |
|
|
![]() |
|
| Mouth Smear |
Motor Nerve |
|
![]() |
||
| Rabbit spinal cord, 40x |










